3DS歯周病予防・治療
- 歯周病を短期間で治す自由診療を始めました。
それが3DS(Dental Drug Delivery System)除菌歯周治療です。
花田信弘教授(国立感染所部長等を経て現在鶴見大学名誉教授)の理論に基づき最近注目されている治療方法です。
- 「白米が健康寿命を縮める」光文社新書
- 花田信弘著・鶴見大学歯学部 探索歯学講座「3DS実施歯科医院歯科医師のご紹介」
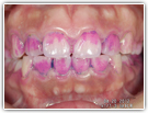
40歳を過ぎると9割の人が歯周病になっています。
しかし、その病状は人によって異なります。
歯周病の恐ろしさは重度にならないと自覚症状が現れなく、すでにこの段階では治療が上手くいかないことです。
結果以下の症状が現れます。
- 歯がグラつく
- 歯茎から膿や出血がある
- 歯茎が赤く腫れている
当医院ではこの段階に行く前に事前に歯周病の原因となる細菌を除去する治療を2~3ヶ月コースで始めることと致しました。
みなさんは歯科医院で歯周病の検査をした経験・記憶がありますか?
自分の歯周病の進行度について詳しく説明を受けたことがありますか?
また、歯周病は原因である細菌と同じに以下の修飾因子も重度化させるリスクファクターでこれらのコントロールも重要です。
糖尿病・喫煙者・心臓病・高血圧、その他全身疾患をお持ちの方
歯ぎしり・ストレス・噛みあわせ・欠損歯がある方には、短期強化治療をお勧めいたします。
除菌歯周治療では、歯周治療を専門にトレーニングされた歯科衛生士が 完全予約制で短期強化治療をしていきます。
費 用 : 170,000円(税抜・ホームケアグッズ込)
期 間 : 約2~3ヶ月間(完全予約制)全9回
期 間 : 約2~3ヶ月間(完全予約制)全9回
- 症状により軽度・重度コースもあります。
費用などについてはスタッフにお尋ねください。
※治療後のメンテナンス治療は必須です。
3DSの手順
1.歯周病検査
歯周病検査には、パントモ撮影もしくはレントゲン撮影14枚法と
口腔内写真撮影、歯周組織検査、細菌検査が必要です。
顕微鏡検査では歯周病菌やカビ菌がほとんどの方にみられます。当医院では患者さまのお口の中の汚れをほんの少し採取しそれを顕微鏡で観察。顕微鏡を見ることで、今現在の菌の状態を確認することができ歯周病になりやすいかどうか、今はどういう状態なのか、これからどういう状態になっていくのかがわかってきます。
さらに映し出された動画像を拡大表示する機能を用いることで治療効果のよりわかりやすい説明を聞くことが可能です。
アビリット社のオーラルクロマ口臭測定器を使い3大要素ガスを測定し、メチルメルカプタンの濃度で歯周病かどうかをチェックします。
2.結果説明・カウンセリング(磨き方のアドバイス、生活習慣の改善
)

3.ホームケア

このあと一週間、家庭でのケアを行います。
4.歯石除去・PMTC(機械的バイオフィルムの除去)
型取りをする前までに、何度か歯磨きの練習と歯石除去をして、除菌治療ができるようにバイオフィルム(細菌の膜)を物理的に除去し口腔内環境を整えておきます。








バイオフィルム除去には縁上の歯面清掃と歯周ポケットのメインテナンスを1台で行えるハイクラスのエアフローマスター(株式会社 松風)を使用します。

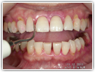
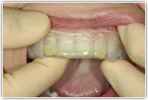
5.マウスピーストレー印象作成

患者さま個人の歯列形態に合わせたカスタムメードのトレーを作成します。
6.3DS除菌治療
- 除菌治療3日前から抗生剤(ジスロマック)を服用していただきます。

- 歯列にマウスピーストレーと薬剤を用いて、化学的な除菌を行います。


7.再度3DS除菌治療
約一週間後に再度、機械的・化学的除菌治療をします。
8.結果説明・カウンセリング(生活習慣改善確認)

9.メンテナンス治療

患者さまの声













