Sitemap
はぎわら歯科 親不知の抜歯
[厚生労働省指定歯科医師臨床研修施設]
〒413-0232 静岡県伊東市八幡野1194-30
≪伊豆急行線 伊豆高原駅より徒歩5分≫
Home
小児歯科
医院概要
アクセス
スタッフ紹介
施設案内
最新設備
CT検査
デンタルX
お問合せ
小児歯科
院長からのメッセージ
記録する・見せる
分かる ・伝わる
初めての患者さまへ
メタルフリーへの取り組み
滅菌・衛生管理
歯科外来環境体制について
日本顕微鏡歯科学会認定
歯科衛生士
日本小児歯科学会専門医
歯学博士
日本歯周病学会認定
歯科衛生士
診療案内
セレックシステム
e.maxワンランク上の
セラミック
マウスピース矯正
インビザライン
インプラント
はぎわら歯科の
クリーニング
根管治療
歯周病
3DS歯周病予防・治療
ホワイトニング
唾液検査
口臭測定
マイクロスコープ
レーザー治療
親不知の抜歯
治療費
医療費控除金額計算
書籍掲載
キャンセル防止のお願い
歯科衛生士募集
プライバシーポリシー
サイトマップ
はぎわら歯科インスタグラム
はぎわら歯科リクルート専用LINE
Blog「ねこふんじゃった」
TEL&FAX
0557-53-0026
●
伊豆急行線 伊豆高原駅 徒歩5分
●
≫
詳しくはこちらへ
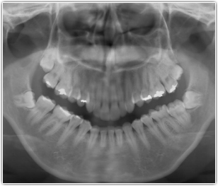
親不知の抜歯
難しい症例も高い技術と経験で抜歯可能です。
はぎわら歯科は抜歯の技術に自信があります。最新の設備・高い技術力・長年の経験から、難しいとされる事例も的確な処置で安全に抜歯を行います。難しいケースはCTにより精査します。大学病院へ紹介される歯科医院も多いと思いますが、大学病院へ行く時間のとれない方は当院にて対応いたします。他の歯科医院の先生からも数多く依頼を受けています。
遠方から多くの患者さまがいらっしゃいます。
親知らず等の痛み、違和感などございましたら まずはお気軽に当院にご相談ください。