CT検査
高度化している歯科診療では本格的な3次元画像診断が主流になっています。
レントゲン(2次元)では見えない角度からの画像は、診断技術を根底からかえていきます。
勘にたよった診断ではなく、正確な画像診断は、歯科診療には今日では不可欠となりました。 しかし、2016年現在歯科医院のCT普及率は5%ほどです。
レントゲン(2次元)では見えない角度からの画像は、診断技術を根底からかえていきます。
勘にたよった診断ではなく、正確な画像診断は、歯科診療には今日では不可欠となりました。 しかし、2016年現在歯科医院のCT普及率は5%ほどです。
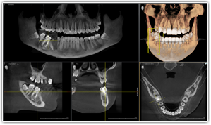
当院で新しく導入したCTについて
はぎわら歯科では、2008年いち早く当時最先端の3-DCTを導入いたしました。しかし、今日テクノロジーの進歩は目覚ましいものがあります。
そこでこの度、最先端のドイツ医療機器メーカーシロナ製ORTHOPHPS SL 3Dを導入しました。
今までのCTに比べ画像が驚くほど鮮明、3D-画像がより立体的、神経の位置を詳細に把握することができ、より正しい診断が可能となりました。
歯の根元の状態や、病気、べニアの接合状態、冠修復物のセット等 術前、術後の状態把握にもその力を発揮します。
また、SIDEXIS4ソフトとの組み合わせ診療をすることで 例えばセレックと連動して 睡眠時無呼吸症候群のマウスピースを作ることができる等 非常に多くの事が効率的に可能になりました。検査結果が出るまでの時間が大幅に短縮されました。
CT検査の必要性
歯科治療の高度化に伴い3次元画像診断が当たり前の時代になっています。3次元画像診断では、歯、顎、口腔領域などの形態や位置関係を知ることができることから、治療及び手術を安全、確実にしかも短時間で行うことができます。
3次元画像診断は次のように歯科でのあらゆる病態の把握に非常に有効です。
●歯周病
CT検査により、歯槽骨(あごの骨)と歯の状態を立体画像で確認することができ、進行状態の診断にも力を発揮します。
●根管治療
根周囲の病巣の確認、根管、根管の形態、数を確認することができます。
●親知らず抜歯

埋伏歯と歯根周辺の骨、神経、血管の状態を正確に把握できます。
●矯正治療
矯正治療の計画、治療中の経過観察には、歯列全体の確認が重要です。CT検査による診断は最適な治療方法を導き出すことができ、治療期間の短縮にもつながります。
●インプラント
インプラント治療におけるCT検査のメリットはとても大きく、通常のレントゲンでは正確に確認できないあごの内部構造(骨の高さ、厚みや神経の位置)を立体的に確認することができます。
正確な診断による、的確な治療計画は、安心できるインプラント治療の第一歩です。
正確な診断による、的確な治療計画は、安心できるインプラント治療の第一歩です。
歯科用CTとは
CTとは Computed Tomographyの略です。
X線とコンピューターを使って断層写真を得ることができる装置です。歯科用CTとは、近年開発された歯科に特化したCT装置です。
医科の分野においては、様々な場面で聞く診断方法ですが、開発されたのは1970年代初頭です。特に近年では目覚ましい進歩をとげています。
医科に比べて、歯科の分野ではミクロレベルでの情報を必要としますから、医科の分野では大活躍のCTも、歯科の分野においては満足のいくレベルの高い空間分解機能は得られませんでした。
歯科用CTでは、コンビーム式のスキャンを行うことで、短時間のX線照射による、歪みの少ない繊細な画像を断面で観察することができます。
歯科用CTの特徴
●低照射線量
歯科用CTは照射線量が、医科用CTと比較して非常に少ないことが最大の利点です。
医科用CTの1/100~1/30程度です。
医科用CTの1/100~1/30程度です。
●高画質
診断に必要な画像情報を今まで以上の鮮明度の高い画質でみることができます。
●撮影時間
1回 約10秒 非常に楽に撮影を受けられます。

